Tenha um diagnóstico preciso e recupere seu bem-estar bucal com soluções humanas e seguras para feridas, lesões e problemas na boca.

Atendimento especializado em Estomatologia para quem busca alívio rápido, clareza no diagnóstico e orientação completa para diferentes alterações bucais.

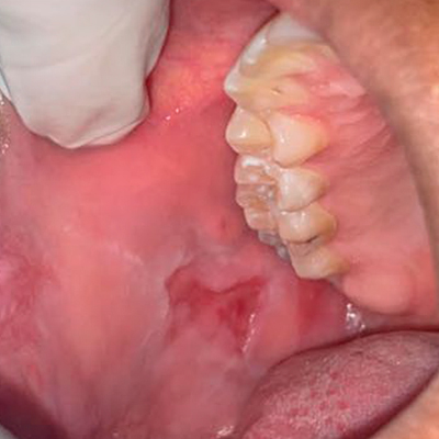
Você se identifica com algum desses sintomas?

Feridas na boca que não cicatrizam?

Fonte: Lopes DN et al. Co-occurrence of oral pemphigus vulgaris and herpes simplex virus in a young patient with Crohn’s disease. BMC Oral Health. 2020.

Aftas frequentes ou doloridas?

Fonte: Lopes DN, Marques LC, Rozza-de-Menezes RE, et al. Cytopathological diagnosis of herpes simplex virus infection causing oral aphthous ulcers in a patient with acute lymphocytic leukemia: case report. BMC Oral Health. 2021.

Manchas, caroços ou nódulos bucais?

Fonte: Lopes DN et al. Co-occurrence of oral pemphigus vulgaris and herpes simplex virus in a young patient with Crohn’s disease. BMC Oral Health. 2020.

Dor, inchaço, ou sensação de que algo
está errado na boca, gengiva ou língua?

Fonte: Lopes DN et al. Co-occurrence of oral pemphigus vulgaris and herpes simplex virus in a young patient with Crohn’s disease. BMC Oral Health. 2020.

Não ignore sinais desconfortáveis.
Agende sua avaliação e descubra como
tratar cada caso com segurança.

Não ignore sinais
desconfortáveis.
Agende sua avaliação
e descubra como tratar
cada caso com segurança.

O que faz um Estomatologista?

O estomatologista é o especialista que identifica, diagnostica e trata doenças e lesões na boca de maneira aprofundada — indo além da atuação de um dentista generalista. Se você foi encaminhado(a), ou está sem respostas, você vai conhecer sua dentista estomatologista agora.

Dra. Danielle Nobre

Cirurgiã-dentista especialista em Estomatologia (UFRJ), mestre e doutora em Patologia Oral (UFF), com habilitação em Laserterapia (USP), Odontologia Hospitalar (ênfase em UTI – CEMOI/RJ) e professora universitária há mais de 5 anos na área, alia conhecimento científico aprofundado à prática clínica humanizada para oferecer diagnósticos e tratamentos de excelência para todas as alterações bucais.

Diferenciais:

FAQ

Ao notar qualquer lesão, ferida, mancha ou desconforto na boca que não melhora em até 2 semanas.

Não, você pode agendar diretamente uma avaliação, mesmo sem indicação prévia de outro profissional.

Não, atendemos apenas particular ou emitimos recibo para pedido de reembolso junto ao plano.

A consulta é detalhada, com avaliação clínica completa, explicação sobre o quadro e, se necessário, solicitação de exames complementares para um diagnóstico seguro.

Aftas, feridas, manchas, candidíase, nódulos, cistos, dores inexplicáveis na boca e outras alterações da mucosa bucal.

Dra. Danielle Nobre Lopes - Copyright 2026 © - Todos os direitos reservados